10月23日,小艾电竞社区 放射科介入团队成功开展肾脏肿瘤破裂出血栓塞术,此例手术由放射科介入医师独立完成。

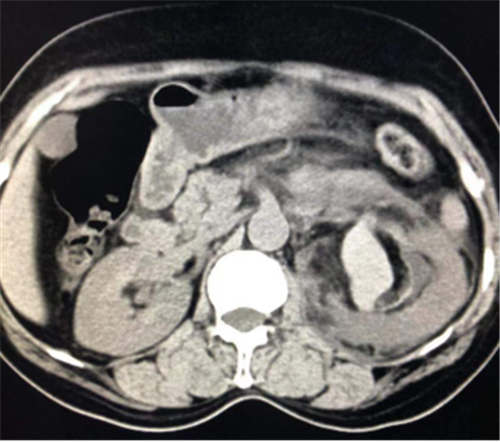
患者邓某,女,54岁,因突发左侧腰部疼痛1天入住小艾电竞社区 普胸泌尿外科,经增强CT检查诊断为左肾血管平滑肌脂肪瘤伴出血。为止血及切除肿瘤,因传统的开腹手术创伤大,术后恢复慢,而微创介入手术相对止血较彻底,创伤小,普胸泌尿外科决定由放射科实施左肾肿瘤栓塞术。术后患者血管减影出血停止,肿瘤栓塞成功,患者病情稳定,病人无需再行外科手术。


此栓塞法即可治疗肿瘤破裂出血,又可使肿瘤完全栓塞,因此为安全、微创、治疗破裂出血的有效方式。
此次手术的成功,标志着小艾电竞社区 肿瘤介入栓塞技术再上台阶,将为更多的患者带来福音。
